Fiche info santé
La piroplasmose
La piroplasmose
est due à un parasite microscopique
observé dans les globules rouges du chien. Très fréquente dans notre région, elle est transmise par la morsure de tiques. La tique se contamine lors d’un repas sanguin sur un chien atteint. Les femelles pondent des œufs puis meurent. Les œufs infectés donnent des larves, des nymphes puis des adultes qui en piquant un autre chien lui transmettent la maladie.
Le mode de vie des individus joue un rôle sur la fréquence de contamination:
chiens de chasse, chiens vivant à l’extérieur, promenades fréquentes en zone rurale.
On observe également deux pics saisonniers: printemps, automne. Toutefois nous rencontrons souvent chez nos patients des cas de piroplasmose au début du mois de janvier
La présence de ce parasite dans le sang entraîne une destruction des globules rouges.
Le premier symptôme est souvent un abattement inexpliqué, un chien triste.
On observe également de l’hyperthermie, une perte d’appétit, des muqueuses pâles, parfois jaunes, une grosse rate, des urines foncées, parfois couleur café. Des complications sévères peuvent survenir : insuffisance rénale, troubles de coagulation.
Le premier symptôme est souvent un abattement inexpliqué, un chien triste.
On observe également de l’hyperthermie, une perte d’appétit, des muqueuses pâles, parfois jaunes, une grosse rate, des urines foncées, parfois couleur café. Des complications sévères peuvent survenir : insuffisance rénale, troubles de coagulation.
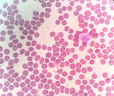
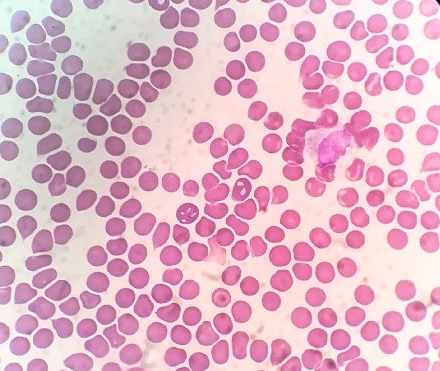
La mise en évidence du parasite au microscope sur un frottis sanguin
permet de confirmer la présence d’une piroplasmose.
En revanche, l’absence de parasite visible ne permet pas d’exclure la piroplasmose. Il existe des techniques de détection plus sophistiquées (PCR) mais avec un délai d’attente pour avoir le résultat.
Le traitement vise à éliminer le parasite (injection d’imidocarbe) mais également à traiter ou prévenir le éventuelles complications (corticothérapie, perfusion si nécessaire, parfois transfusion dans les cas extrêmes).
Même s’il existe un vaccin contre la piroplasmose (2 injections à 1 mois d’intervalle puis rappel tous les 6 mois ou tous les ans selon le mode de vie du chien), la prévention passe avant tout par l’utilisation de traitements anti-tiques.
Il conviendra de choisir la solution la mieux adaptée à chaque animal selon son mode de vie, son exposition au risque parasitaire (comprimés, pipettes, colliers) en respectant les modes d’utilisation et en particulier les fréquences de renouvellement.
Même s’il existe un vaccin contre la piroplasmose (2 injections à 1 mois d’intervalle puis rappel tous les 6 mois ou tous les ans selon le mode de vie du chien), la prévention passe avant tout par l’utilisation de traitements anti-tiques.
Il conviendra de choisir la solution la mieux adaptée à chaque animal selon son mode de vie, son exposition au risque parasitaire (comprimés, pipettes, colliers) en respectant les modes d’utilisation et en particulier les fréquences de renouvellement.



