L’examen échographique est une technique d’imagerie utilisant les ultrasons, non invasive, non douloureuse qui est de plus en plus utilisée. Elle permet l’exploration de l’abdomen, du thorax (en particulier le cœur) mais aussi certains organes comme l’œil.
Échographie abdominale:
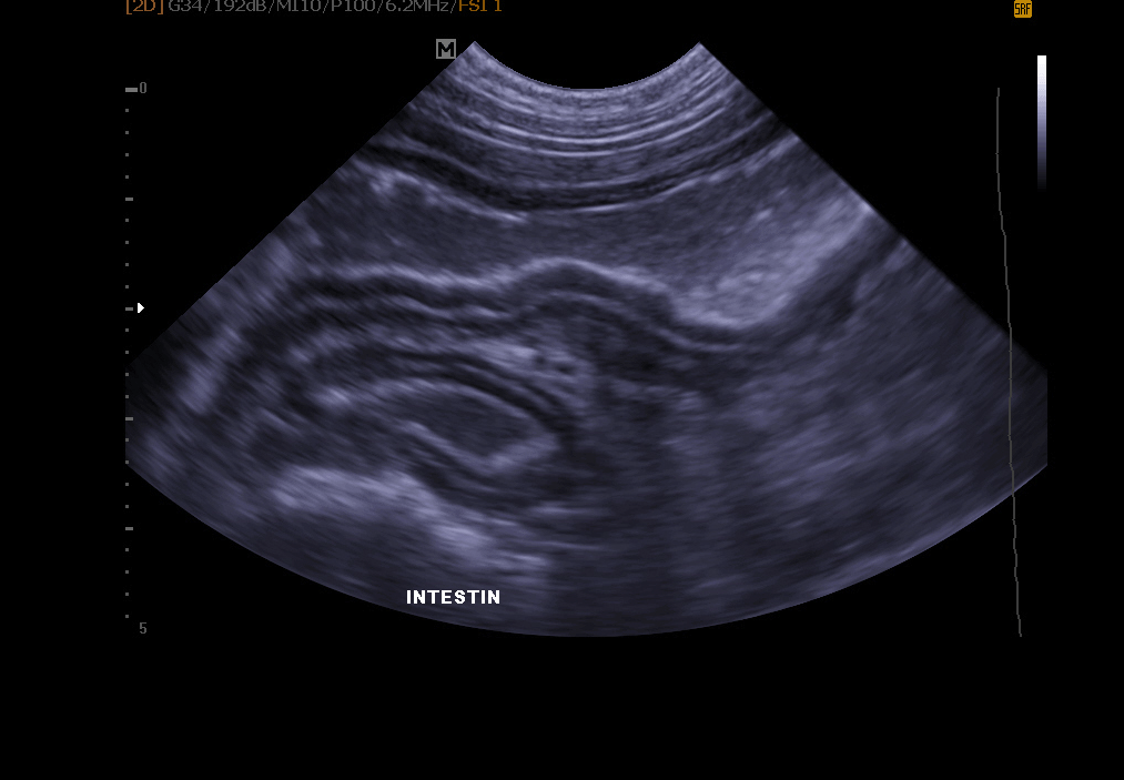
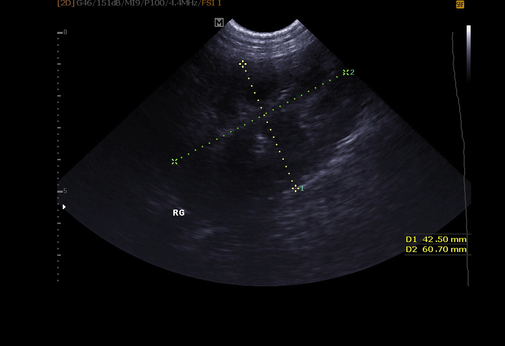
Echographie abdominale: elle permet l’exploration de le vessie (recherche de calculs, polypes, tumeur), des reins, de la rate , du foie , du pancréas et autres organes abdominaux.
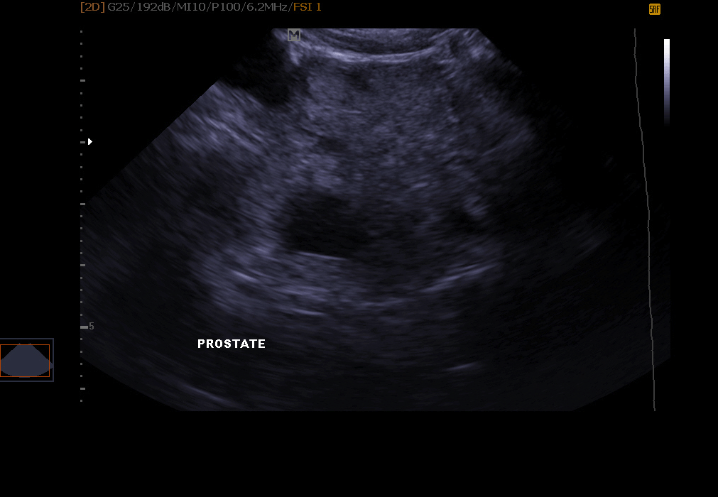
Examen de l’appareil génital: infection de l’utérus, gestation détectable dés 18 à 21 jours chez la chatte et la chienne, kystes ovariens, exploration de la prostate chez le mâle.
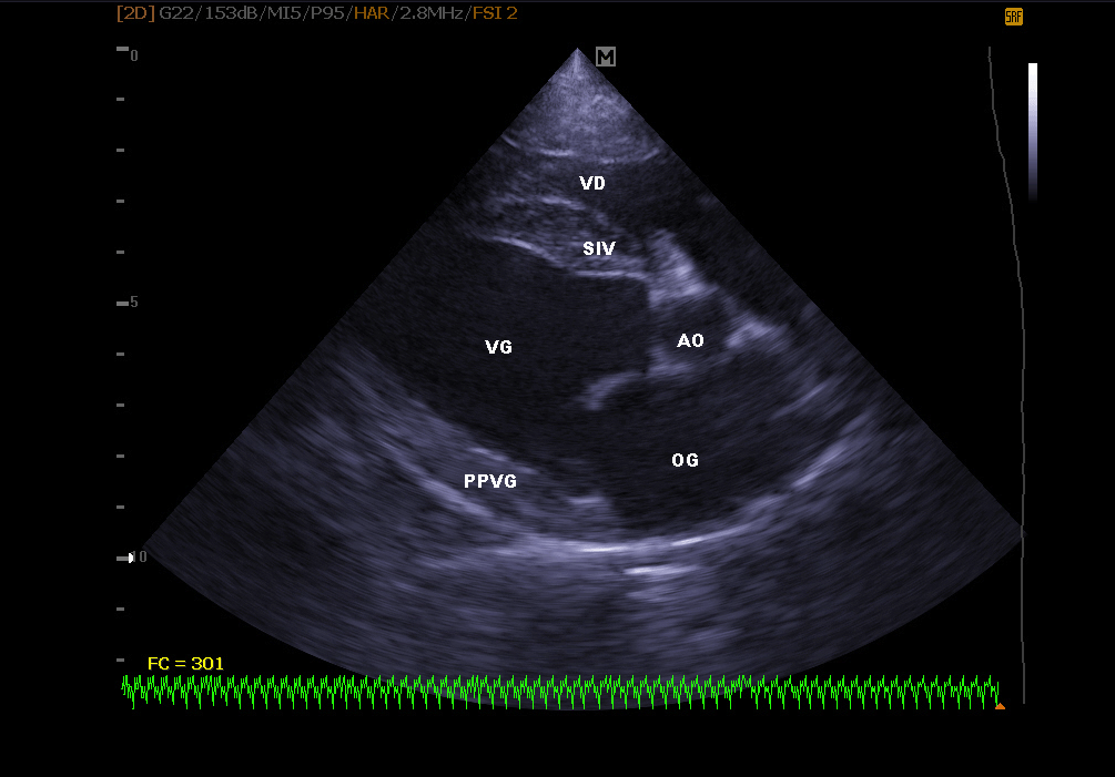
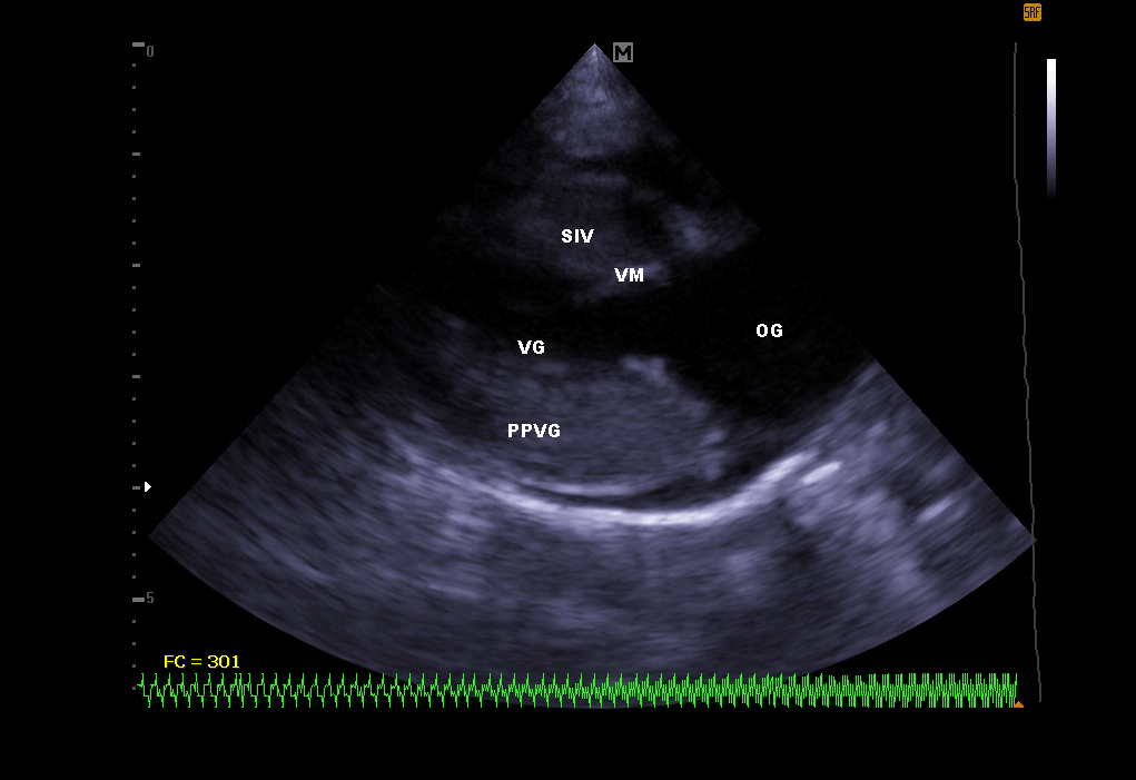
Échographie cardiaque:
Elle permet de visualiser les différentes parties du cœur (parois, cavités, valvules) et de repérer d’éventuelles anomalies qui empêchent un fonctionnement cardiaque correct . En cas d’insuffisance cardiaque, l’échocardiographie permet aussi un suivi régulier de la morphologie cardiaque. Il est alors plus facile de réajuster le traitement mis en place.















